My Foot!

Jou Ma Se Seun Se Voet!A week ago I had an interesting and surprisingly funny, even at the time, incident with an abandoned building and a floorboard that didn’t want to be a floorboard any more.

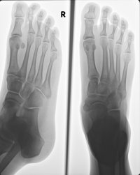
The wound has healed nicely but the pain in my ankle is still plaguing me so I finally decided to get an X-Ray just in case something was actually wrong. The Radiologist says that I haven’t broken anything but that I should “keep off it for a few days to give it a chance to heal”… I assume he’s a big fan of levitation then.

Anyway, I’ve organised parking in my building and crutches. Now I just need to figure out how to levitate.

Leave a comment